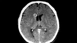
Zmiany w istocie białej

ciąg ze strony 1 FILAR,hipointensywne w obrazach Tl-zależnych odpowiadające plakom demielinizacyjnym.Część zmian wykazuje cechy rozpadu (jama malacyjna o sygnale zbliżonym do sygnału płynu mózgowo-rdzeniowego).Pojedyncze zmiany,głównie w istocie białej półkul mózgu,ulegają brzeżnemu wzmocnieniu po podaniu dożylnym paramagnetyku co przemawia za ich aktywnością.
MĘŻCZYZNA, 50 LAT ponad rok temu
Lek. Jerzy Bajko
Lek. Jerzy Bajko Neurolog, Szczecin
95 poziom zaufania

konieczna wizyta u dobrego neurologa

Lek. Jerzy Bajko
Lek. Jerzy Bajko Neurolog, Szczecin
95 poziom zaufania

I jak sprawy?

redakcja abczdrowie Odpowiedź udzielona automatycznie

Nasi lekarze odpowiedzieli już na kilka podobnych pytań innych użytkowników.
Poniżej znajdziesz do nich odnośniki:

Patronaty