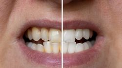
Jeżeli czuje Pani potrzebę wybielania zębów to każda metoda jest dobra.Krótsze stosowanie preparatu tez da efekt - troszkę słabszy.Na rynku występują preparaty i możliwości wybielenia zębów na jednej wizycie.
Normalnie na efekty wybielania nakładkowego czeka się 14 dni, więc po 3-4 nocach efekt będzie, tylko że słabszy i mniej widoczny. Czy warto? To już Pani decyzja. Choć może warto przemyśleć profesjonalne wybielanie w gabinecie aktywowane światłem/laserem, gdzie uzyskamy widoczne efekty już po 1 wizycie na fotelu. Co do białej diety to powinna ona trwać minimum 14 dni. 2 dni mogą nie wystarczyć, radziłabym unikać palenia papierosów i czerwonego wina po wybielaniu, ponieważ są to produkty silnie barwiące.
Pozdrawiamy,
stankowscy.com.pl
facebook.com/badzbystry
Witam serdecznie,
Efekt po tak krótkim wybielaniu jak najbardziej wystąpi, ale nieznaczny. Jeśli zależy nam na szybkim, znaczącym i bezpiecznym efekcie, to warto pomyśleć o wybielaniu gabinetowym. Warto również utrzymywać białą dietę przez dłuższy okres czasu, aby zwiększyć trwałość efektu.
Czasem nieco ciemniejszy kolor zębów może być spowodowany osadami i wizyta higienizacyjna również da odczuwalny efekt wybielenia zębów, a oprócz tego będziemy mieli oczyszczone powierzchnie zębów z kamienia i osadów.
Nasi lekarze odpowiedzieli już na kilka podobnych pytań innych użytkowników.
Poniżej znajdziesz do nich odnośniki:
- Czy do wybielania nakładkowego konieczne jest uzupełnienie braków zębów? – odpowiada Lek. dent. Konrad Rutkowski
- Stosowanie wybielania nakładkowego – odpowiada Lek. dent. Magdalena Mierzejewska
- Wybielanie zębów metodą nakładkową a metalowe wzmocnienie dolnych zębów – odpowiada Lek. dent. Rafał Krzemiński
- Jakie mogą być konsekwencje wybielania zębów metodą nakładkową? – odpowiada Lek. dent. Konrad Rutkowski
- Wybielanie zębów a zdejmowanie kamienia – odpowiada Lek. dent. Olgierd Bartecki
- Ból dziąseł i zębów po wybielaniu metodą nakładkową – odpowiada Lek. dent. MichaĹ WikliĹski
- Jakich produktów nie można spożywać po wybielaniu zębów metodą nakładkową? – odpowiada Lek. dent. Bogdan Jaremczuk
- Czy możliwe jest wybielenie takiego szkliwa? – odpowiada Dr n. med. Stefan Sobaniec
- Wybielanie zębów metodą nakładkową u 21-letniej kobiety – odpowiada Lek. dent. Konrad Rutkowski
- Czy wybielanie zębów może być nieszkodliwe? – odpowiada Lek. dent. Konrad Rutkowski
artykuły
Amalgamat - charakterystyka, zalety, wady, szkodliwość, amalgamat a kompozyt
W stomatologii jako wypełnienie ubytków w zębach s
Najlepsze sposoby na piękne zęby i dziąsła
Pokonaj strach przed dentystą Dentofobia oznacza s
Chcesz wybielić zęby? Na te pasty uważaj
Żółte zęby to jeden z najczęstszych estetycznych p