Twój przewodnik po zdrowiu

  1. Opisz swój problem. Pomożemy Ci znaleźć odpowiedź w bazie ponad miliona porad!
  2. Nie ma informacji, których szukasz? Wyślij pytanie do specjalisty.
Rozpocznij
7 6 6 , 7 0 8

odpowiedzi udzielonych przez naszych ekspertów

Rzetelnie + Bezpiecznie + Bezpłatnie

Ortopedia: Pytania do specjalistów

Co oznacza ujemny indeks kości łokciowej?

Ujemny indeks kości łokciowej (może wskazywać na uszkodzenie chrząstki trójkątnej) poza tym kości bez zmian radiologicznych. - taki uzyskałam opis zdjęcia rtg. Jak może wyglądać leczenie? I jak długo może trwać?
odpowiada 1 ekspert:
Lek. Tomasz Budlewski
Lek. Tomasz Budlewski

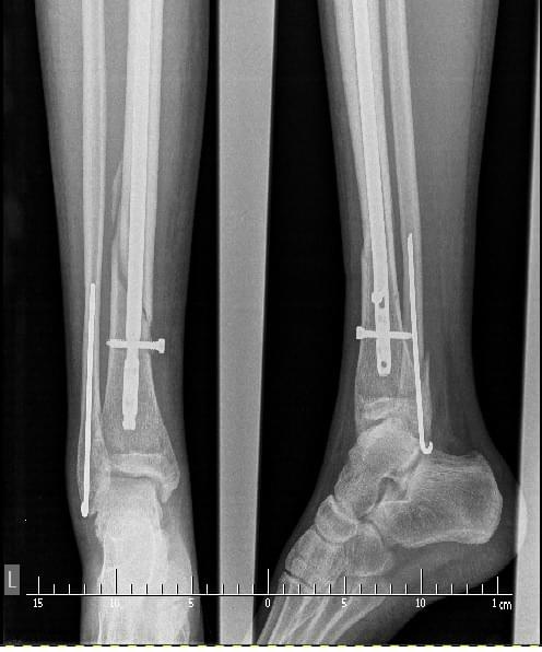
Jak wygląda zrost na tym etapie i co czeka mnie po wyjęciu śrubek?

Witam, 12 grudnia złamałem kość piszczelową, strzałkową w 1/3 dalszej z przemieszczeniem oraz kostkę boczną z przemieszczeniem. Piszczel zespolony gwoździem śródszpikowym blokowanym a kostka prętem rusha. Po operacji noga usztywniona szyną zaś po 6 tyg zamieniona na orteze. W połowie... Witam, 12 grudnia złamałem kość piszczelową, strzałkową w 1/3 dalszej z przemieszczeniem oraz kostkę boczną z przemieszczeniem. Piszczel zespolony gwoździem śródszpikowym blokowanym a kostka prętem rusha. Po operacji noga usztywniona szyną zaś po 6 tyg zamieniona na orteze. W połowie lutego czeka mnie dynamizacja zespolenia. Jak wygląda zrost na tym etapie i co czeka mnie po wyjęciu śrubek? Mniej więcej kiedy stanę w pełni na nogi? https://images83.fotosik.pl/331/bf7e4615b6a9e430gen.jpg po 6tyg
odpowiada 1 ekspert:
Lek. Zbigniew Żurawski
Lek. Zbigniew Żurawski

Czy operacja po złamaniu stawu skokowego jest niezbędna?

Dzień dobry, 15.01 złamałam staw skokowy- kostka boczna, dzisiaj miałam kontrolę, lekarz po obejrzeniu RTG, stwierdziła, że złamanie jest na granicy przemieszczenia i prawdopodobnie będzie potrzebna operacja, jednak przy zdjęciu RTG, Pani kazała mi skręcić nogę w lewą stronę. Czy... Dzień dobry, 15.01 złamałam staw skokowy- kostka boczna, dzisiaj miałam kontrolę, lekarz po obejrzeniu RTG, stwierdziła, że złamanie jest na granicy przemieszczenia i prawdopodobnie będzie potrzebna operacja, jednak przy zdjęciu RTG, Pani kazała mi skręcić nogę w lewą stronę. Czy możliwe jest, że to przez to lekarz stwierdził, że prawdopodobnie będzie przemieszczenie? Wydaję mi się to trochę nierealne, prawie w ogóle nie chodzę, tylko leże z kostką wyżej niż reszta ciała. Proszę o odpowiedź.
odpowiada 1 ekspert:
Lek. Zbigniew Żurawski
Lek. Zbigniew Żurawski

Co oznacza ciężar w klatce piersiowej i kłucie?

Witam mam 31 lat od dwoch dni czuje ciezar w klatce piersiowej i takie klocie. W prawej lopatce a niekiedy takie dziwne uczucie nad lewa piersia do tego czuje sie jakbym nie mogla swobodnie oddychac a w obu rekach na... Witam mam 31 lat od dwoch dni czuje ciezar w klatce piersiowej i takie klocie. W prawej lopatce a niekiedy takie dziwne uczucie nad lewa piersia do tego czuje sie jakbym nie mogla swobodnie oddychac a w obu rekach na przemiennie jakby zarz mialo mi wysadzic zyly w tych rekach.....czesto mi dretwieja i to szybko
odpowiada 1 ekspert:
Lek. Katarzyna Szymczak
Lek. Katarzyna Szymczak

Co oznacza wynik badania kręgosłupa?

syn9lat.BoleOdcinkaLedzwiowegoKregoslupa.Bol pojawia sie po aktywnosci fizycznej.rezonans:badanie w zakresie od th9 do kosci krzyzowej.splycona fizjologiczna lordoza ledzwiowa. L2/L3/L4-:niewielkie,uogolnione uwypuklenie krazkow(bulging)z modelowaniem worka oponowego I nieznacznym ograniczeniem otworow m-kregowych.L4/L5:niewielkie dokanalowe nieznacznie asymetryczne na strone prawa uwypuklenia krazka z dyskretna impresja na worek oponowy I czesciowym ograniczeniem otworow m-kreg.co to znaczy?
odpowiada 1 ekspert:
Lek. Aleksandra Witkowska
Lek. Aleksandra Witkowska

Co jest przyczyną niedowładu mięśni w lewej ręki?

Witam. Pytanie dotyczy bezwładnego mięśnia w lewej ręce. Od 10 dni nie potrafię unieść dłoni wierzchem do góry, ani zbytnio rozprostować palców. Mogę chwytać i poruszać w przeciwnym kierunku. Nie potrafię napiąć tego mięśnia od łokcia do dłoni. Byłem u... Witam. Pytanie dotyczy bezwładnego mięśnia w lewej ręce. Od 10 dni nie potrafię unieść dłoni wierzchem do góry, ani zbytnio rozprostować palców. Mogę chwytać i poruszać w przeciwnym kierunku. Nie potrafię napiąć tego mięśnia od łokcia do dłoni. Byłem u kilku lekarzy bo odsyłają jeden do drugiego a żaden nic nie zrobił nawet, usłyszałem tylko że to coś z nerwem lub mięśniem i teorie od tego że samo przejdzie po wizytę na fizjoterapii w kolejnej klinice. Nie odniosłem żadnego urazu dodam. Michał
odpowiada 1 ekspert:
Mgr Paweł Czarnocki
Mgr Paweł Czarnocki

Czy można chodzić na basen po złamaniu trzonu kości udowej?

Witam, mam 26 lat, 25.06.2016 złamałem nogę - trzon kości udowej. 27.06.2016 - zostałem poddany zabiegowi zespolenia kości metodą śródszpikową. 20.12.2016 zespolenie zostało zdynamizowane. 30.01.2017 lekarz powiedział, że ledwo widać cechy zrostu. Czy powininem się martwić, czy to normalne? chciałbym... Witam, mam 26 lat, 25.06.2016 złamałem nogę - trzon kości udowej. 27.06.2016 - zostałem poddany zabiegowi zespolenia kości metodą śródszpikową. 20.12.2016 zespolenie zostało zdynamizowane. 30.01.2017 lekarz powiedział, że ledwo widać cechy zrostu. Czy powininem się martwić, czy to normalne? chciałbym poznać opinię innego lekarza. Mam zalecenie aby w domu chodzic bez kul - nie sprawia mi to problemu. Czy mogę w takim stanie chodzić na basen? Zdjęcie RTG z 30.01.2017 http://imgur.com/a/MsVcm
odpowiada 1 ekspert:
Lek. Tomasz Kowalczyk
Lek. Tomasz Kowalczyk

Co oznacza silny ból głowy wraz z odcinkiem szyjnym kręgosłupa?

Dzień dobry, Byłam na masażu pleców(25 min.) u Pani z Mongolii. Od tamtej pory mam silny ból głowy wraz z odcinkiem szyjnym kręgosłupa. Mam rownież ogromne problemy ze stresem, ponieważ moja mama jest na intensywnej terapii po udarze... Dzień dobry, Byłam na masażu pleców(25 min.) u Pani z Mongolii. Od tamtej pory mam silny ból głowy wraz z odcinkiem szyjnym kręgosłupa. Mam rownież ogromne problemy ze stresem, ponieważ moja mama jest na intensywnej terapii po udarze. Czy ból głowy wraz z odcinkiem szyjnym moze być związany z masażem czy to wyłącznie stres? Pani, która mnie masowała jest profesorem. Ma certyfikat z uczelni w Radomiu. Jak masowała mnie to uciskała kręgi kręgosłupa i to było niepokojące. Przyznam,że bolało
odpowiada 1 ekspert:
Lek. Jerzy Bajko
Lek. Jerzy Bajko

Jak przyspieszyć regenerację stawu skokowego?

Witam mam pytanie odnośnie stawu skokowego. 2 tygodnie temu doznałem powierzchniowego urazu stawu skokowego i stopy i chciałbym wrócić do treningów piłki nożnej co mam zrobić żeby przyspieszyć regenerację. Miałem chodzimy 10 dni w opasce elastycznej i 3 x dziennie altacet. Proszę o szybką odpowiedź
odpowiada 1 ekspert:
Mgr Marta Kociatyn-Stawarz
Mgr Marta Kociatyn-Stawarz

W jaki sposób pozbyć się codziennego bólu kręgosłupa?

Witam mam 30 lat i boryka się z bólem kręgosłupa od dziecka(skolioza ). A od porodu (3 lata temu )ból towarzyszy mi codziennie. Chodzę od lekarza do lekarza i nic tylko leki przeciwbólowe przepisują a tu nic. Brałam zastrzyki... Witam mam 30 lat i boryka się z bólem kręgosłupa od dziecka(skolioza ). A od porodu (3 lata temu )ból towarzyszy mi codziennie. Chodzę od lekarza do lekarza i nic tylko leki przeciwbólowe przepisują a tu nic. Brałam zastrzyki chodziłam na rechabilitacje i w kółko to samo. Już nie mam siły z tym żyć .Proszę o pomoc bo ból towarzyszy mi 24 h.
odpowiada 1 ekspert:
Mgr Marta Kociatyn-Stawarz
Mgr Marta Kociatyn-Stawarz

Co oznacza okołostawowy zanik kostny kości miednicy?

MAM WYNIK RTG STAWU BIODROWEGO 17kv i19 mas opis-OKOŁOSTAWOWY ZANIK KOSTNY KOSCI MIEDNICY I WIDOCZNYCH ODCIMKOW KOSCI UDOWYCH PRZEWERZENIE SZPAR STAWOWYCH STAWOW BIODROWYCH ZE SKLEROTZACJA STROPOW PANEWEK BRZEGI GORNE ZEWNETRZNEPANEWEG POGRUBIALE WYDLUZONE PODCHRZESTNE GEODY ZWYRODNIENIOWE W PANEWCE STAWUBIODROWEGO LEWEGO SKLEROTYZACIA... MAM WYNIK RTG STAWU BIODROWEGO 17kv i19 mas opis-OKOŁOSTAWOWY ZANIK KOSTNY KOSCI MIEDNICY I WIDOCZNYCH ODCIMKOW KOSCI UDOWYCH PRZEWERZENIE SZPAR STAWOWYCH STAWOW BIODROWYCH ZE SKLEROTZACJA STROPOW PANEWEK BRZEGI GORNE ZEWNETRZNEPANEWEG POGRUBIALE WYDLUZONE PODCHRZESTNE GEODY ZWYRODNIENIOWE W PANEWCE STAWUBIODROWEGO LEWEGO SKLEROTYZACIA STAWOW MIEDZYKREGOWYCH L5/S1 ZWAPNIENIE W SCIANIE MIEDNICY MALEJ CO TO ZNACZY -cacy2@op.pl przy chodzenju bol w pachwinie kolanie stopie
odpowiada 1 ekspert:
Lek. Tomasz Budlewski
Lek. Tomasz Budlewski

Co oznaczają zmiany zwyrodnieniowe krążka międzykręgowego w postaci obniżenia?

dzisiaj odebrałam wynik rezonansu kręgosłupa lędźwiowego proszę o opinię: na poziomie L5/S1 zmiany zwyrodnieniowe krążka miedzykręgowego w postaci obniżenia jego intensywności sygnału oraz uogólnionego uwypuklenia z cechami pośrodkowej tylnej przepukliny modelujacej worek oponowy.liczne drobne guzki Schmorla uwidocznionych kregów piersiowych i trzonu kregu L1
odpowiada 1 ekspert:
Lek. Aleksandra Witkowska
Lek. Aleksandra Witkowska

Co oznacza wynik badania scyntygrafii kości?

witam mój mąż właśnie odebrał wynik z scyntygrafii.badanie wykonano po dożylnej iniekcji MDP-Tc99m.w badaniu trójfazowym uwidoczniono wzmożone gromadzenia radiofarmaceutyku osteotropowego w obrębie lewego podudzia w fazie naczyniowej i miąższowej w fazie póznej koncentracja radioznacznika w obrębie stawu skokowego i części... witam mój mąż właśnie odebrał wynik z scyntygrafii.badanie wykonano po dożylnej iniekcji MDP-Tc99m.w badaniu trójfazowym uwidoczniono wzmożone gromadzenia radiofarmaceutyku osteotropowego w obrębie lewego podudzia w fazie naczyniowej i miąższowej w fazie póznej koncentracja radioznacznika w obrębie stawu skokowego i części stępu.Obraz scyntygraficzny jest typowy dla ostrego zapalenia kości w ww lokalizacji. Co to znaczy w czerwcu było otwarte złamanie nogi i do dziś są powikłania takie jak martw
odpowiada 1 ekspert:
Lek. Tomasz Budlewski
Lek. Tomasz Budlewski

Czy osoba ze skoliozą i schorzeniami kręgosłupa może ćwiczyć w basenie?

Czy osoba ze skoliozą i schorzeniami kręgosłupa może ćwiczyć w basenie? Aqua aerobik lub hydrocycling? Chcę zabrać mamę,w ramach niespodzianki, na basen i nie wiem czy takie ćwiczenia wchodzą w grę. Z góry dziękuję za odpowiedź.
odpowiada 1 ekspert:
Lek. Tomasz Kowalczyk
Lek. Tomasz Kowalczyk

Co oznacza szczelina złamania podstawy paliczka palca wskazującego

Witam w poniedziałek miałem wypadek i na RTG wyszło iż mam "szczelinę złamania podstawy paliczka palca wskazującego" w związku z tym dali mi szyno-gips i zastanawiam się czy go nie zdjąć bo bardzo to uciążliwe a jakoś złamania nie ma.... Witam w poniedziałek miałem wypadek i na RTG wyszło iż mam "szczelinę złamania podstawy paliczka palca wskazującego" w związku z tym dali mi szyno-gips i zastanawiam się czy go nie zdjąć bo bardzo to uciążliwe a jakoś złamania nie ma. Daję link do zdjęć RTG palca. I chciałbym wiedzieć czy można samemu unieruchomić palca? http://image.prntscr.com/image/1116d68a2bc84d0c84212e73eb7a9bc0.png http://image.prntscr.com/image/e819d98ff7a94d6bab3b59ed8ddbed40.png
odpowiada 1 ekspert:
Lek. Aleksandra Witkowska
Lek. Aleksandra Witkowska

Co oznacza ból kostek?

Dobry wieczor mam pytanie bola mnie kostki juz tak mam 2 tygodnie nie mam spuchnietych tych kostek ogolnie teraz bola mnie migdaly na szyi czy to od tego moze byc prosze o odp
odpowiada 1 ekspert:
Lek. Aleksandra Witkowska
Lek. Aleksandra Witkowska

Co oznaczają drobne nierówności zarysu płytek granicznych trzonów kręgowych?

Witam, własnie odebrałam wyniki rezonansu odcinka ledzwiowego i w opisie sa drobne nierównosci zarysu płytek granicznych trzonów kregowych th11-th12, co to moze oznaczac?
odpowiada 1 ekspert:
Lek. Tomasz Kowalczyk
Lek. Tomasz Kowalczyk

Czy z zerwanym więzadłem krzyżowym mogę chodzić na pilates?

Witam, mam zerwane więzadło krzyżowe przednie III stopnia, w lipcu b.r. będę mieć operację. Czy do tego czasu mogę chodzić na zajęcia pilatesu? Z góry dziękuję za odpowiedź.
odpowiada 1 ekspert:
Lek. Tomasz Kowalczyk
Lek. Tomasz Kowalczyk

Jaką dietę stosować przy nadżerce kości?

Nadżerka kości. Proszę o poradę jaką stosować suplementację i dietę. Zdiagnozowano u mnie nadżerkę na kości I głowy na palcu dużym u prawej stopy , stany zwyrodnieniowe i podejrzenie dny moczanowej. Od kilku miesięcy odczuwam rwanie w tym palcu.... Nadżerka kości. Proszę o poradę jaką stosować suplementację i dietę. Zdiagnozowano u mnie nadżerkę na kości I głowy na palcu dużym u prawej stopy , stany zwyrodnieniowe i podejrzenie dny moczanowej. Od kilku miesięcy odczuwam rwanie w tym palcu. Badanie krwi pod kątem dny - kwas moczowy wynik 4,3 a norma do 5,7.Lekarz ortopeda i internista mówią, że jest wszystko w normie i przepisano mi 10 zabiegów na laser i ultra dźwięki nic poza tym. (30- paro latka nie pijąca i nie jedząca tłuszczu)
odpowiada 1 ekspert:
Lek. Tomasz Budlewski
Lek. Tomasz Budlewski

Co oznacza wynik badania TK stawu biodrowego?

Proszę o interpratację, co to może być, czy to coś groźnego. W badaniu TK prawego stawu biodrowego. W dolnej części szyjki kości udowej prawej w łączności z warstwą korową szyjki kości udowej nieostroodgraniczone ognisko osteosklerotyczne o największych wymiarach w płaszczyźnie... Proszę o interpratację, co to może być, czy to coś groźnego. W badaniu TK prawego stawu biodrowego. W dolnej części szyjki kości udowej prawej w łączności z warstwą korową szyjki kości udowej nieostroodgraniczone ognisko osteosklerotyczne o największych wymiarach w płaszczyźnie czołowej ok 8mm*11mm. Warstwa korowa przyśrodkowej powierzchni szyjki k.udowej na poziomie zmiany odcinkowo pogrubiała. Objawy:ból w pachwinie, głównie po obciążeniu kończyny , wchodzeniu po schodach,dłuższym chodzeniu.
odpowiada 1 ekspert:
Dr n. med. Maria Magdalena Wysocka-Bąkowska
Dr n. med. Maria Magdalena Wysocka-Bąkowska
Patronaty